Hirntumore
- Schlaganfall
- Parkinson-Krankheit
- Multiple Sklerose
- Schwindel
- Neurorehabilitation
- Schlaf-Wach-Störungen
- Myasthenie gravis
- Periphere Nervenschädigung
- Hirntumore
- Entzündliche Polyneuropathien
- Demenz
- Rückenschmerzen
- Kopfschmerzen als neurobiologische Erkrankung
- Muskelerkrankungen
- Schädel-Hirn-Trauma
Hirntumore
Die Klassifikation der Weltgesundheitsorganisation (WHO) beinhaltet mehr als 130 verschie-dene Tumorarten, die das Gehirn, das Rückenmark oder das periphere Nervensystem be-treffen können. Zu den häufigsten Tumoren gehören die Gliome, die im Gehirn selbst wach-sen (Abbildung 1), Meningeome, die von den Hirnhäuten ausgehen und von aussen das Ge-hirn komprimieren (Abbildung 2), Metastasen («Absiedlungen»), die von ausserhalb des Nervensystems wachsenden Tumoren über die Blutbahn in das Gehirn streuen, und Tumo-ren der Hirnanhangsdrüse (Hypophysentumoren). Je nach Verhalten unterscheidet die WHO vier Tumorgrade, wobei Grad I häufig durch ein langsames (z.B. Meningeom), Grad IV durch sehr aktives Wachstum charakterisiert ist (z.B. Glioblastom).
Die von Hirntumoren verursachten Symptome sind charakteristisch für die Gehirnregion, in der ein Tumor wächst. Frühe Anzeichen können allerdings so unspezifisch sein, dass sie nicht mit einer Tumorkrankheit in Verbindung gebracht werden. Kopfschmerzen kommen in ca. 30% vor. Häufig treten epileptische Anfälle, Lähmungserscheinungen und Sprach- oder Sehstörungen auf. Bei Verdacht auf das Vorliegen eines Tumors wird als wichtigster diag-nostischer Schritt eine Magnetresonanztomographie erforderlich (MRI, Schnittbilduntersu-chung, Abbildungen 1–2). Zur Klassifikation des Tumors muss das Tumorgewebe mikrosko-pisch untersucht werden. Hierzu wird eine Operation erforderlich. Zur Vorbereitung eines möglichst schonenden Eingriffs können wichtige Funktionsareale des Gehirns mittels funktio-neller Magnetresonanztomographie (fMRI) und Darstellung der Nervenbahnen (MRI mit «Fi-ber-Tracking») abgebildet werden. Die Operation wird je nach Lage des Tumors entweder als Gewebeentnahme (Biopsie) oder als Tumorentfernung durchgeführt. Zur Optimierung einer Tumorentfernung werden während der Operation Neuronavigation und Fluoreszenz-Techniken (5-ALA) eingesetzt, um auch kleine Tumoranteile zu identifizieren. Ergänzende molekulargenetische Untersuchungen des Gewebes können darüber Aufschluss geben, wel-che Aussicht auf ein Ansprechen eines Tumors auf weitere Behandlungsmethoden (z.B. Chemotherapie) besteht. Bei Vorliegen von Hirnmetastasen muss zusätzlich nach einem Tumor ausserhalb des Gehirns gesucht und die Behandlung der Hirnmetastasen mit dem gesamt-onkologischen Konzept abgestimmt werden.
Tumorzellart, Ausmass der operativen Tumorentfernung und Zustand des Patienten ent-scheiden darüber, ob weitere tumor-gerichtete Behandlungen erfolgen müssen, oder ob die Tumornachsorge geplant werden kann. Meningeome, die im Bereich der Tumoransatzstellen an den Hirnhäuten vollständig entfernt werden können, sind oft bereits durch eine Operation geheilt. Gliome, die zum Zeitpunkt der Entdeckung häufig Tumorzellwanderung in das um-gebende Gehirn zeigen (Abbildung 1), lassen sich durch eine Operation alleine nicht kontrol-lieren und benötigen weitere tumor-gerichtete Massnahmen. Hierzu stehen je nach Tumorart und -Stadium Strahlentherapie und verschiedene Formen von Chemotherapie zur Verfü-gung. Diese Therapien werden häufig sehr gut vertragen und schränken die Lebensqualität oft nur wenig ein. Die Prognose einer Hirntumorkrankheit ist individuell sehr verschieden und hängt von zahlreichen Faktoren ab (Tumorart und -grad, Alter, körperlicher Zustand, geneti-sche Tumoreigenschaften).
Die Erkennung und Behandlung von Hirntumoren erfordert die kontinuierliche Zusammenar-beit verschiedener medizinischer Disziplinen. Tumor-gerichtete und symptom-orientierte Massnahmen müssen in der Tumorbehandlungsphase und Tumornachsorge sorgfältig auf-einander abgestimmt werden. Hierzu existieren an zahlreichen Spitälern Hirntumorzentren. Zentrales Element eines Hirntumorzentrums ist die regelmässige interdisziplinäre Bespre-chung («Tumorboard»). Hieran sind alle diagnostischen (Neuroradiologie, Pathologie) und behandelnden (Neurologie, Neurochirurgie, Radioonkologie, Medizinische Onkologie) Institu-tionen beteiligt. Durch das Expertengremium wird am Tumorboard gemeinsam ein Vorschlag zur individuellen Weiterbehandlung erarbeitet. Ist keine weitere tumor-gerichtete Behandlung erforderlich, tritt die Phase der Tumornachsorge ein. Diese hat zum Ziel, allfällige Symptome zu lindern, Medikamente (z.B. gegen Epilepsie) und die Wirkung der bisherigen Tumorbe-handlung mittels MRI zu überprüfen. Falls ein Rezidiv («Tumorrückfall») eintritt, soll dies im Rahmen der Nachsorge möglichst früh entdeckt werden. Die Wiederaufnahme einer Tumor-behandlung wird dann erneut am Tumorboard beurteilt.
![]() |
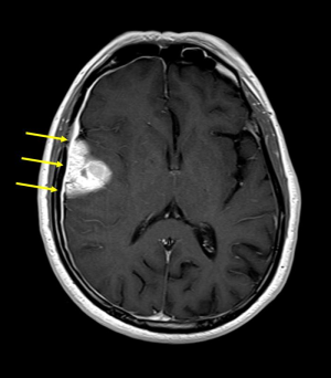
Abbildung 1: Gliom WHO Grad IV (Glioblastom). Der Tumor wächst im Gehirn und zeigt im MRI bereits zum Zeitpunkt der Diagnosestellung Tumorzellausläufer (Pfeile). |
![]() |
Abbildung 2: Meningeom. Das MRI zeigt, wie der Tumor von der Hirnhaut ausgehend (Pfeile) das Gehirn von aussen komprimiert. |






